DIPGSpecial Report: A rare brain cancer called DIPG is killing children on the Coast Updated September 20, 2017 at 5:33 PM
Vote for the Mississippi Coast all-sports Athlete of the Week for Feb. 23Updated February 23, 2026 at 12:38 PM
Southern Miss continues torrid start, run-rules Alabama for 7th straight winFebruary 24, 2026 at 10:17 PM
See our favorite photos from the 2026 MHSAA soccer state finals in JacksonFebruary 23, 2026 at 12:25 PM
Coast journalist, a ‘go-getter,’ fondly remembered in South Mississippi and beyondFebruary 24, 2026 at 3:32 PM
Player fed slot machine well before it returned a big jackpot at Biloxi casinoFebruary 23, 2026 at 10:20 AM
DIPGTwo more MS Coast children are fighting brain cancer. Their families want to know whyUpdated July 26, 2022 at 1:42 PM
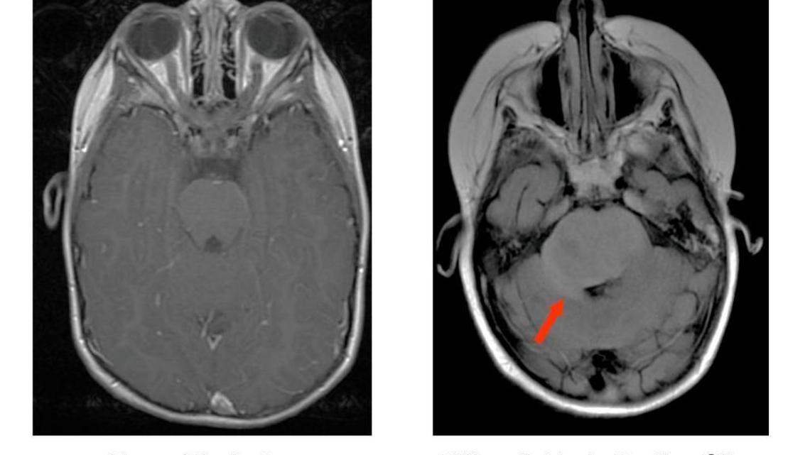
Jackson CountyFourth Coast child diagnosed with rare brain cancer DIPG. She’s 2.Updated August 3, 2019 at 4:32 PM
DIPG‘I didn’t count on loving her.’ Reporter tells story behind covering DIPG and Sophia MyersUpdated October 25, 2018 at 11:55 AM
DIPGMississippi investigated rare child cancer cases in Ocean Springs. Here’s what the report says.Updated October 22, 2018 at 12:58 PM
DIPGNicolas Cage donates $10,000 to fight rare cancer that's killing Coast kidsUpdated May 17, 2018 at 9:04 PM
DIPG'In my heart, I can still see Sophia playing here,' dad says at Ocean Springs dedicationApril 11, 2018 at 7:28 PM
DIPGOcean Springs families who lost children to brain cancer band together for DIPG Warrior WalkUpdated March 21, 2018 at 11:18 AM
DIPGMy brain told me Sophia was quietly slipping away, but my heart didn’t want to hear itUpdated December 23, 2017 at 11:22 AM
DIPG‘Please stop stealing from my dead child,’ Sophia Myers’ mother pleadsUpdated December 15, 2017 at 3:11 PM
DIPGOfficials can’t say why 3 Coast kids died from DIPG. That’s not enough for their parents.Updated December 9, 2017 at 4:11 PM
DIPGMDEQ investigated contaminants at 11 Ocean Springs facilities during probe into DIPGUpdated December 8, 2017 at 9:36 AM
DIPGSophia Myers’ parents want you to celebrate her 8th birthday. Here’s how.Updated November 8, 2017 at 3:43 PM
DIPGParents remember Sophia Myers in touching eulogy videos at funeral serviceUpdated October 26, 2017 at 8:05 PM
DIPGCelebration of Sophia Myers’ life will be ‘as bright and fun as our beautiful girl was’Updated October 26, 2017 at 2:46 PM
DIPGWhat not to say to parents who are grieving the loss of a child, from Sophia Myers’ pastorUpdated October 25, 2017 at 9:09 AM
DIPGSophia Myers will be laid to rest in cemetery overlooking Fort BayouUpdated October 23, 2017 at 2:45 PM
DIPGShe was her mother’s world and her daddy’s biggest fan. Sophia Myers is in heaven now.Updated October 20, 2017 at 4:18 PM
Jackson CountyFamily, friends ‘make the most’ of time left with 7-year-old Sophia MyersSeptember 25, 2017 at 8:29 AM
DIPGNobody knows — not even doctors — what causes a rare brain cancer that kills childrenUpdated September 22, 2017 at 1:10 PM
DIPGA close-knit community wrapped its arms around the Myers family when they needed it mostUpdated September 22, 2017 at 12:05 PM
DIPGA look at other children diagnosed with rare brain tumors in Jackson CountyUpdated September 21, 2017 at 3:17 PM